Det er den første af sin slags i verden.
Lige nu læser andre
En almindelig dag på Canberra-hospitalets infektionssygdomslæge, Dr. Sanjaya Senanayake, tog en uventet drejning, da en af hans kolleger, neurokirurg Dr. Hari Priya Bandi, ringede med en chokerende besked. “Du vil ikke tro, hvad jeg netop fandt i en patients hjerne, og hun er stadig i live og kæmper.”
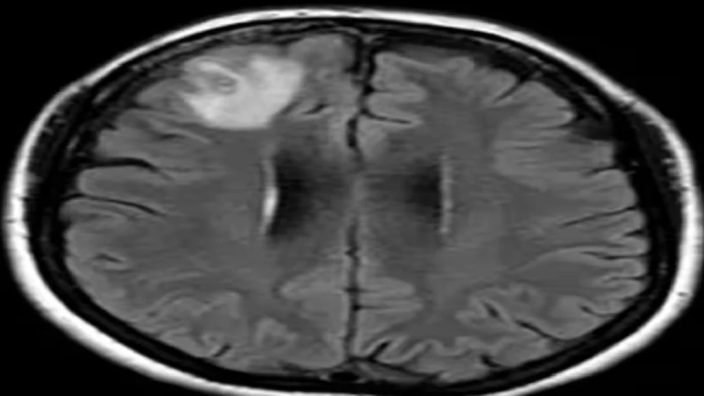
Patienten, en 64-årig kvinde fra det sydøstlige New South Wales, blev oprindeligt indlagt på hendes lokale hospital i slutningen af januar 2021 med tre uger med mavesmerter og diarré, efterfulgt af vedvarende hoste, feber og nattesved i 2022. Hendes symptomer inkluderede også glemsomhed og depression, hvilket førte til en henvisning til Canberra Hospital. En MR-scanning af hendes hjerne afslørede uforklarlige abnormiteter, der krævede kirurgisk indgreb.
Det, der kom som en overraskelse, var, at under operationen trak neurokirurgen en 8 cm lang parasitisk rundorm ud fra patientens hjerne. Dr. Bandi var i chok og ringede straks til Dr. Senanayake og andre kolleger for at søge rådgivning om, hvordan man skulle håndtere denne utrolige situation.
“Selvom neurokirurger ofte står over for infektioner i hjernen, var dette enestående i vores karrierer. Ingen af os havde forventet en sådan opdagelse,” bemærkede Dr. Senanayake ifølge The Guardian.
Efter denne overraskende opdagelse arbejdede et dedikeret team på hospitalet på højtryk for at identificere parasitten og beslutte den nødvendige behandling for patienten. De konsulterede lærebøger og søgte efter alle mulige former for rundorme, der kunne forårsage neurologisk sygdom, men resultaterne var skuffende. De måtte ty til eksterne eksperter for at løse mysteriet.
Læs også
“Canberra er en mindre by, så vi sendte den stadig levende orm direkte til et laboratorium, hvor en erfaren CSIRO-forsker specialiseret i parasitter kiggede på den og sagde, ‘Dette er Ophidascaris robertsi’,” fortalte Dr. Senanayake.
Patienten boede i nærheden af et søområde, hvor tæppepytonslanger lever. Selvom hun ikke havde haft direkte kontakt med slanger, plejede hun at samle indfødte græsser, inklusive krigsgrønt, fra området til madlavning. Lægerne og forskerne involveret i hendes sag mener, at en python muligvis havde udsendt parasitten i græsset gennem sin afføring. Det er sandsynligt, at patienten blev inficeret ved at berøre de indfødte græsser og overføre æggene til mad eller køkkenredskaber eller ved at spise det grønne.
Således viser denne bemærkelsesværdige historie, hvor vigtigt det er at forstå de komplekse sammenhænge mellem mennesker og dyrelivet og at være opmærksom på mulige sundhedsrisici, der kan opstå i tætte samspil med naturen.
